

お子さまの歯並び・
矯正歯科治療について
こんなお悩みは
ありませんか?
-
結局、小児矯正をしても
将来的に永久歯を
抜くことになるんじゃないか?
-
矯正費用は
高額になるのでは?最終的にかかる
費用は? -
様子見と
診断されたけど、様子見は
いつまでなのか? -
子どもが
痛がらないか心配…学校生活に
影響はないか?
でも、何よりも…
-
子どもの将来の顔つきや、
コンプレックスを
解消してあげたい!
-
正しいかみ合わせで、
心も体も健康に
成長してほしい!
あおき歯科・矯正歯科クリニックは
お母さんが抱える不安に寄り添います





「最適な時期」を逃さないことが、
非抜歯治療(歯を抜かない治療)
への近道です!
矯正治療の最適な開始時期は、小学校入学前後(6歳前後)です。この時期は顎の成長を活かした治療が行いやすく、装置の装着や管理もしっかりできるようになるため、入学前の開始が特におすすめです。
今すぐ相談すべきサイン
-
乳歯の時点で
隙間がなく生えている -
受け口(反対咬合)に
なっている -
生え変わった大人の歯が
がたがたになっている -
保育園・幼稚園・小学校検診で
かみあわせについて指摘があった
- 3〜4歳からのご相談も可能です。
- お子さまの状態によっては、この時期から始められる治療や、
成長を見守りながら行うケアがあります。

お子さまの矯正ベストタイミングを診断!
無料相談・
カウンセリング



お子さまの歯並びやあごの成長、お口まわりのお悩みを丁寧に伺いながら、成長段階に合わせた小児矯正の進め方や治療内容について分かりやすくご説明いたします。お子さまの将来を見据えた矯正治療をご検討中の方は、ぜひお気軽にご相談ください。
RESERVATION
予約空き状況
(初診の方専用)
近日Web予約再開予定です。
再開後もWeb予約に空きがない場合は、
お電話にてお問い合わせください。


-


01
他院でも様子見といわれ、
いつ開始したらいいのかがわからない
成長を考慮した
「歯を抜かない矯正治療」
へのアプローチ顎の骨のスペースが足りない場合、まず顎を拡大する土台作りを優先します。顎を拡大することで歯が自然にきれいに並ぶため、可能であればその方法をご提案します。歯を動かす治療は痛みや身体への負担を伴うことがあるため、できるだけ負担の少ない治療を大切にしています。

ドクターからの
「ワンポイントアドバイス」「様子をみましょう」は、どの時期になったらどういった治療法があるのかがあっての様子見であり、それがないと最適な時期を逃してしまうことがあると考えています。様子見の明確な基準がわからない方は早めに再度相談することをおすすめします。
-
02
結局、いつ終わって、いつまで
費用がかかるのかがわからない
独自の
トータルサポートと
明確な費用体系
安心して治療に専念していただけるよう、通院のたびに追加費用が発生しない仕組みを整えています。当院に通院されている方、または通院予定の方は、矯正の調整費はかかりません。
*他院でかかりつけがある場合は対象外です。
-
03
こどもが装置を装着できるか、
毎日続けてくれるかが不安…
お子さまの
モチベーション維持
を徹底サポート
口腔内写真をアプリで共有しています!毎月写真を保護者・お子さまに共有し、治っている経過を可視化することで、お子さまの装着に対するモチベーションにつなげます!
-



04
矯正歯科が多すぎて、
どこでやったらいいかわからない
安心の専門性と
通院しやすい環境福岡市東区香椎浜の歯医者 あおき歯科・矯正歯科クリニックには、適切な知識・技術・経験を有する日本顎咬合学会認定医が在籍しており、専門性の高い矯正歯科治療をご提供しています。
また、一般歯科治療にも対応しているため、矯正治療中に他の歯科治療が必要になった場合に他院へ通う必要がありません。矯正治療を受けるお子さまだけでなくご家族皆様で一緒に診療を受けていただけます。

お子さまの矯正ベストタイミングを診断!
無料相談・
カウンセリング
RESERVATION
予約空き状況
(初診の方専用)
近日Web予約再開予定です。
再開後もWeb予約に空きがない場合は、
お電話にてお問い合わせください。

矯正治療の流れ
-
STEP 1
初回相談
お口や歯並びのお悩みをお伺いし、治療の考え方や進め方をご説明します。
-
STEP 2
精密検査
レントゲンや口腔内の検査を行い、成長状態や歯並びを詳しく確認します。
-
STEP 3
型取り
治療計画に基づき、矯正装置作製のための型取りを行います。
-
STEP 4
1期治療
顎の成長を活かし、歯が並ぶ土台を整える治療を行います。
※多くの場合、この1期治療で治療が完了します。 -
STEP 5
2期治療(必要に応じて)
歯並びの仕上げが必要な場合のみ行います。
-
STEP 6
保定
治療後の歯並びを安定させるため、保定装置で後戻りを防ぎます。
小学生〜高校生のお子さまの
矯正相談と検査が保険で可能に!
2024年6月の診療報酬改定により、「歯科矯正相談料」が新設され、
一定の条件を満たす場合に限り、保険で歯並びやかみ合わせのご相談が
受けられるようになりました。
保険適用となるための条件
学校歯科健診(小・中・高いずれか)の結果で、「顎」「かみ合わせ」「歯並び」などにチェックが入っている方が対象となります。そのうえで、以下のような状態が疑われる場合、保険適用でのご相談と検査が可能です。
-
1厚生労働省が定める疾患に起因した咬合異常
-
23歯以上の永久歯が萌出しておらず、埋伏開窓術を要する可能性がある場合
-
3顎変形症が疑われる場合
「矯正した方がいいの?」「いつから始めるべき?」そんな疑問に、保険でしっかり相談できる制度です。まずは学校健診の結果をご持参のうえ、お気軽にご相談ください。
※保険適用には条件があります。詳しくはお問い合わせください。
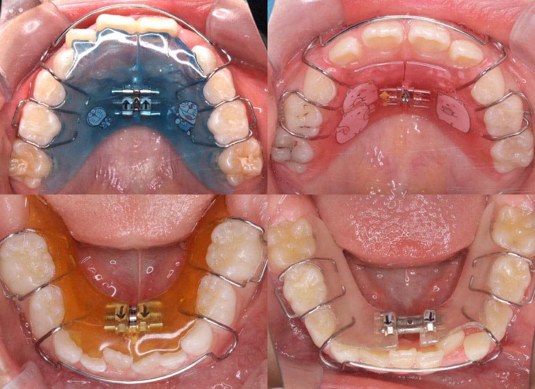
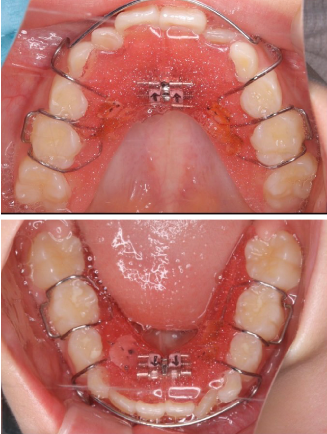
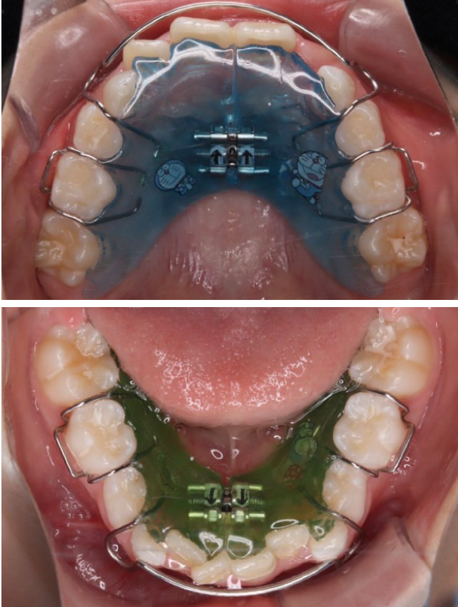
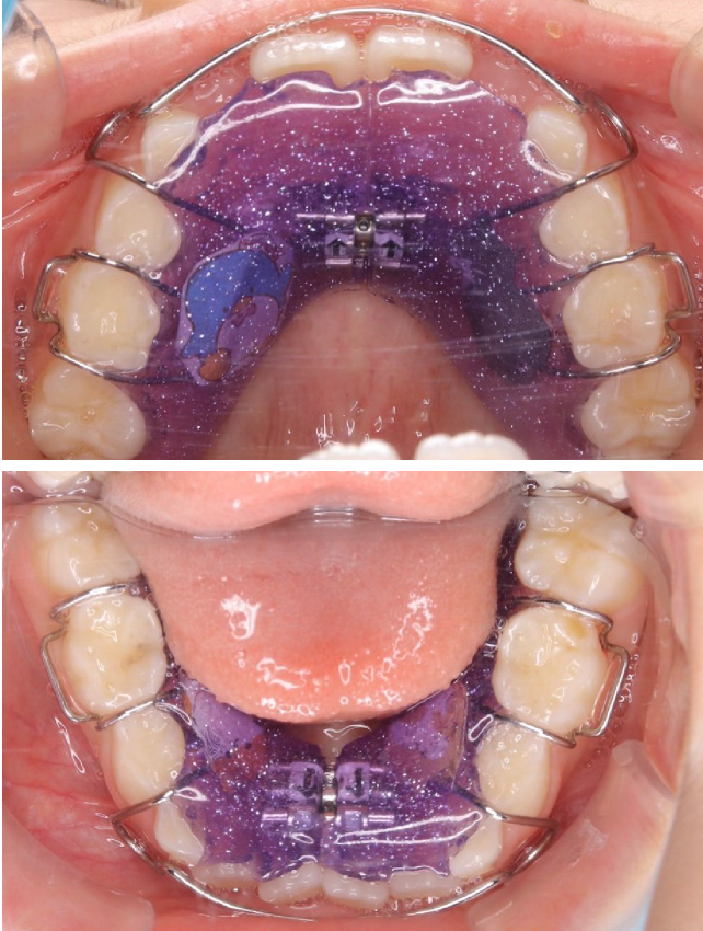
1期治療で使用する装置
-

拡大床
- 機能
- 横に広げるための装置
- 期間
- 6か月~10か月程度
成長期のお子さまの顎をゆっくりと広げる矯正装置です。顎の成長を正しい方向へ導くことで、歯がきれいに並ぶための土台を整えます。歯を無理に動かすのではなく、顎の成長を活かした治療のため、痛みが少なく、お子さまへの負担が比較的軽いのが特徴です。
拡大床は、多くの場合1期治療の中心となる装置で、将来的な本格矯正の必要性を減らすことにもつながります。 -

プレオルソ
- 機能
- 前後の動きに使用する
- 対象症例
- 受け口・出っ歯
- 期間
- 2〜3年
拡大床治療のあとに使用する装置です。痛みが少なく、顎の成長を良い方向へ導くことを目的としています。就寝時の装着は必須で、日中も可能な時間帯は装着していただきます。
その場合、成人矯正費用から10万円差し引いた金額で移行可能となります。
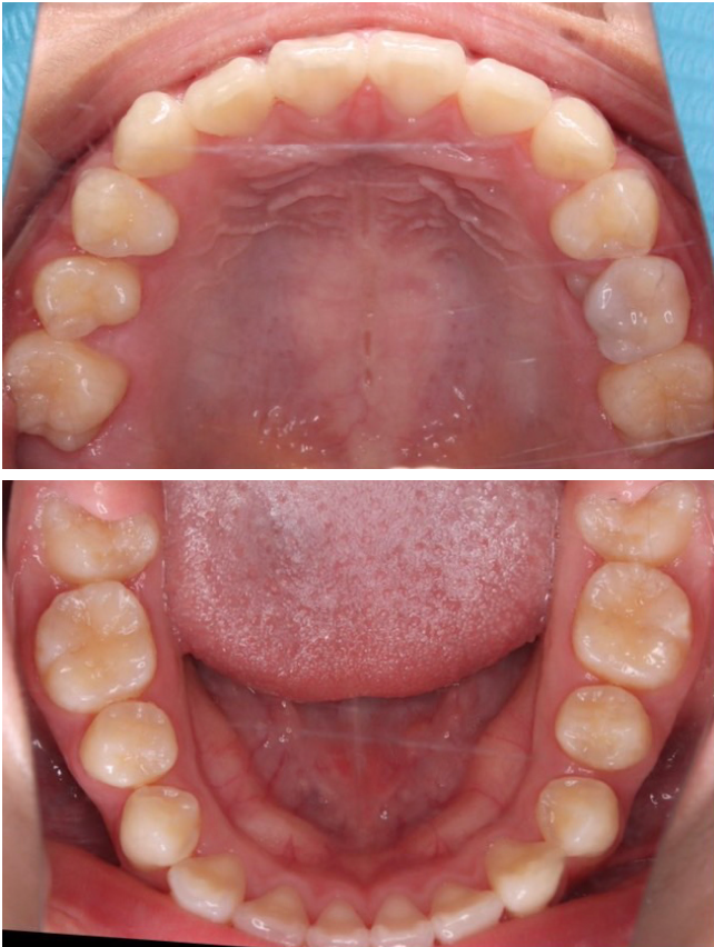
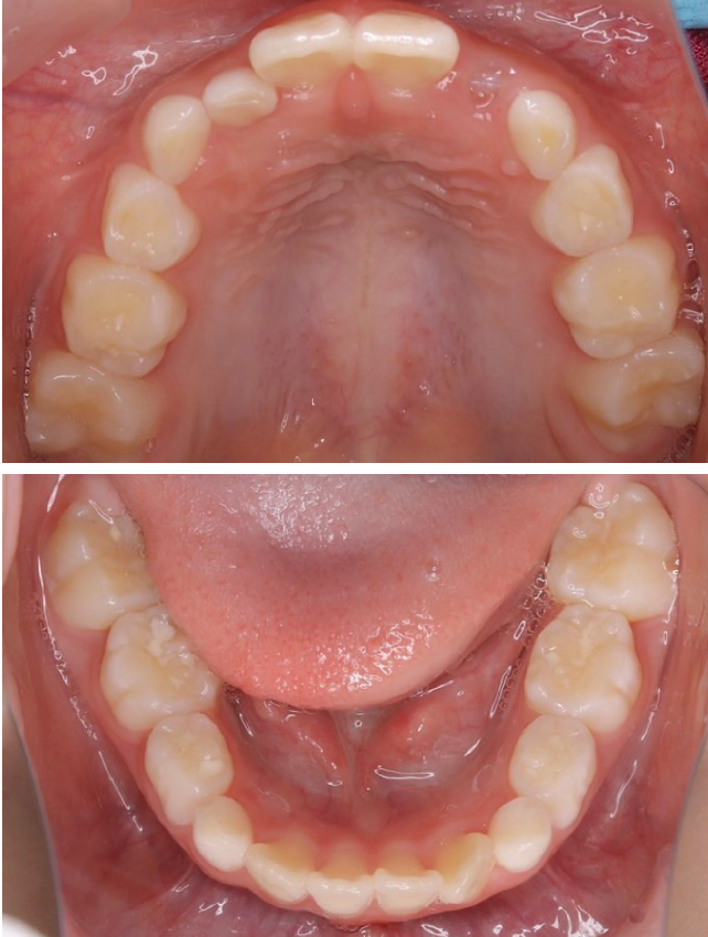
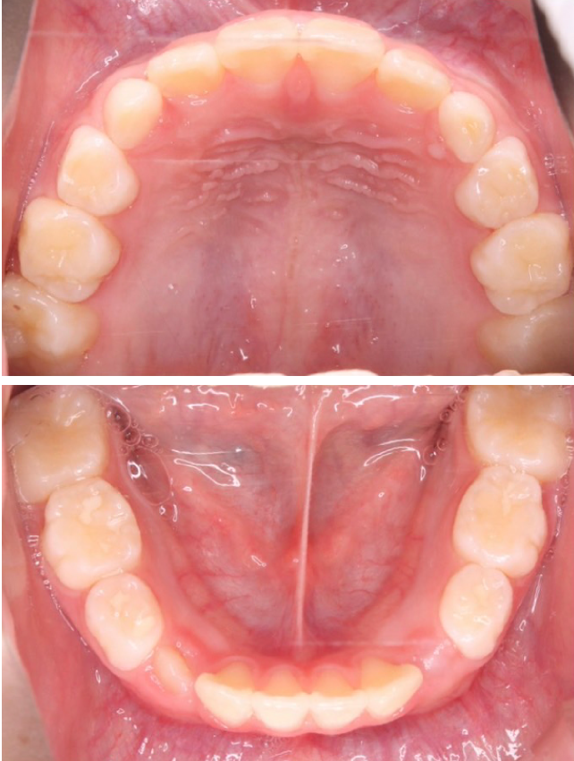
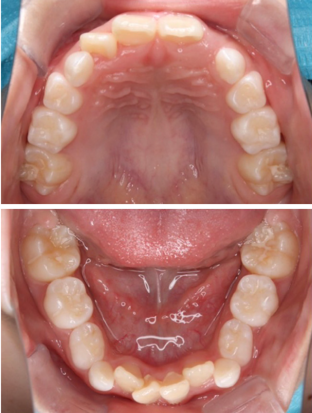
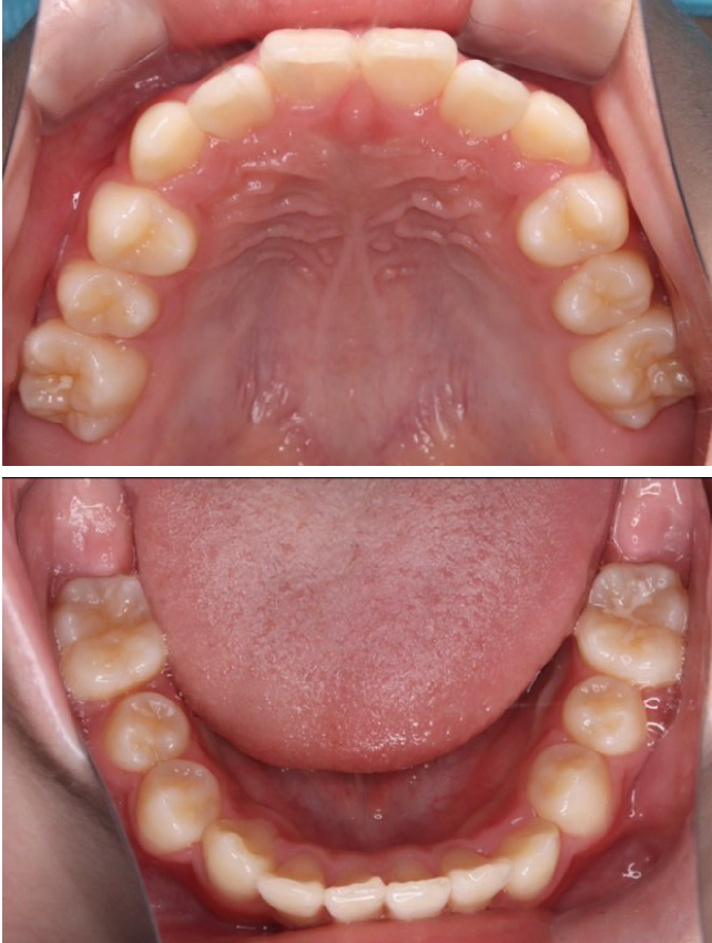
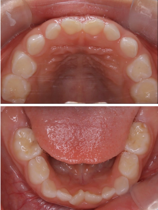
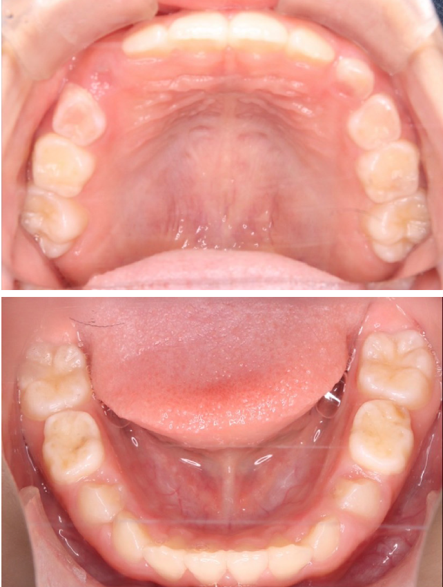
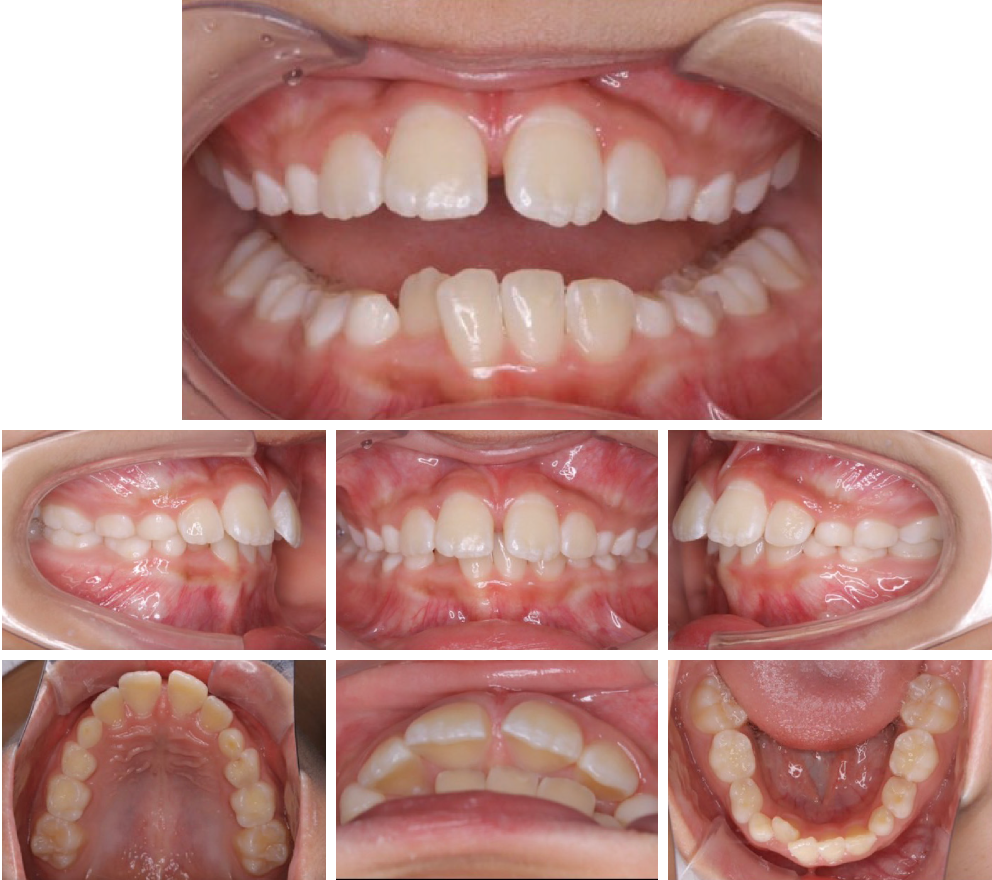
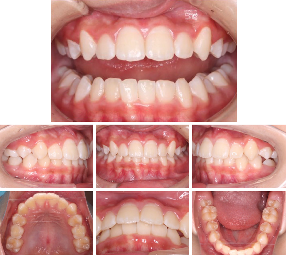
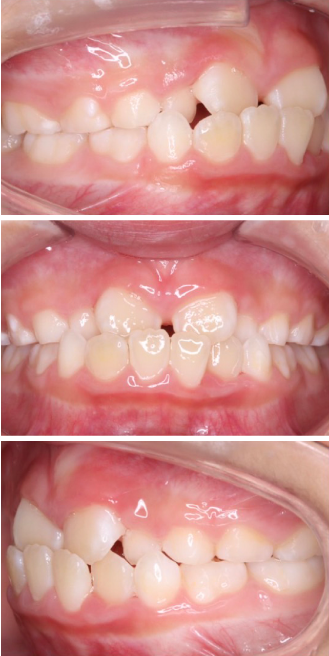
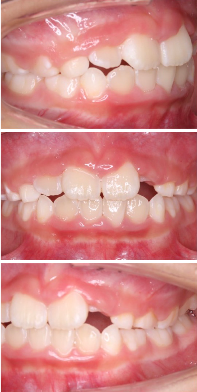
当院の症例
CASE
料金表
PRICE LIST
-
- 初回相談
- 無料
*必要に応じて費用が生じる場合もあります
-
- 拡大床
- 440,000円
*上下・保定装置を含むトータルフィー制度
-
- プレオルソ
- 55,000円
生え変わっている場合のみ追加
-
- 精密検査
- 44,000円
*成人矯正に該当するケースのみ
-
- 第二期矯正治療
- 550,000円〜
*第一期矯正治療後の追加矯正
価格はすべて税込みです。
症例により費用が異なる場合があります。
よくある質問
Q&A
-
小児矯正を始めるのに、最適な時期はありますか?お子さまの歯並びや顎の成長段階によって異なりますが、一般的には、乳歯と永久歯が混在する5〜10歳頃(小学校入学前〜低学年)が、骨格にアプローチできる最も重要な時期とされています。この時期に始めることで、将来的に永久歯を抜かずに済む可能性が高くなります。まずは一度、無料相談にお越しいただき、お子さまの状態を診断することをおすすめします。
-
小児矯正(1期治療)を受ければ、将来の矯正治療は必要なくなりますか?1期治療により、将来の 90% 以上のケースで抜歯を回避し、重度の不正咬合になるリスクを大幅に減らせます。しかし、すべての歯並びが完璧に整うわけではありません。永久歯が生え揃った後(2期治療)に、仕上げのワイヤー矯正が必要になる場合があります。
-
矯正装置をつけることで、子どもが痛がらないか心配です。痛みはありますか?痛みを最小限に抑える治療計画を立てていますのでご安心ください。小児矯正(1期治療)で主に使用する装置は、ワイヤー矯正に比べて比較的弱い力でゆっくりと顎の成長を促すものが中心です。装置を初めて装着した直後や、調整後に数日間、歯が浮くような違和感を訴えることがありますが、通常はすぐに慣れます。当院では痛みの少ない装置を選定しています。
-
矯正治療中、食事や運動などに制限はありますか?基本的に、ほとんどの装置は日常生活に大きな制限はありません。特に取り外し式の装置の場合、食事中は外せるため、通常の食事を楽しめます。ただし、ガムやキャラメルなど、粘着性の高い食べ物は装置に絡まりやすいので避けていただく必要があります。スポーツに関しては、マウスガードなどで保護すれば、問題なく活動できます。
-
転院は可能ですか?はい、可能です。現在の治療内容や装置の状況を確認したうえで、お子さまにとって最適な治療計画をご提案いたします。紹介状や、これまでの治療内容が分かる資料がございましたら、ご持参ください。

最適な治療の「スタート時期」は、
お子さまの成長とともに
刻々と変化しています。
まずは、無料相談で
専門家による診断を
受けてみませんか?
RESERVATION
予約空き状況
(初診の方専用)
近日Web予約再開予定です。
再開後もWeb予約に空きがない場合は、
お電話にてお問い合わせください。




























































